Dr Christophe CHAROUSSET PARIS 8
chirurgien@christophecharousset.fr





L’entorse grave du genou avec rupture du ligament croisé antérieur a lieu le plus souvent lors d’un traumatisme sportif. Les principaux sports sont le Football, le Rugby, Basket, Ski ......
L’association des médecins de montagne, 300 généralistes répartis dans tout le domaine skiable français, a comptabilisé 143 112 blessés en 2019 : 26% de ces lésions sont des entorses du genou.
C’est "en se tordant le genou" ou un pivot, c’est-à-dire par un traumatisme indirect du genou, que l’on se rompt le ligament.
Le plus souvent, les patients ressentent un dérobement du genou, une douleur vive et ont un gros genou.
L’examen clinique suffit le plus souvent pour faire le diagnostic, en particulier le test de "Lachman" est le plus sensible pour dépister une rupture complète du LCA.
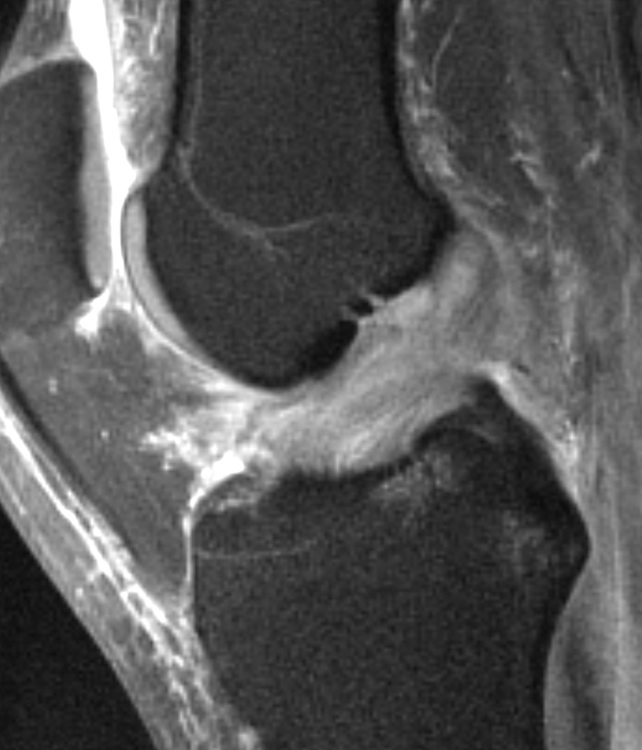
L’IRM est un complément indispensable pour confirmer le diagnostic, et surtout pour faire un bilan complet du genou à la recherche notamment de lésions méniscales associées.
Dans certains cas (rupture partielle ou diagnostic difficile) une mesure de la laxité automatisée peut être réalisée sur GNRB.
Une entorse grave du genou avec rupture du ligament croisé antérieu (LCA) entraîne toujours des douleurs et un épenchement intra articulaire ou hématome du genou. Il faut donc immédiatement:
L’absence de ligament croisé antérieur expose le patient à plusieurs risques :
Il n'y a jamais d'urgence à réaliser une intervention chirurgicale que l'on appelle ligamentoplastie du genou. Il faut attendre en effet que le genou soit indolore, dégonflé, mobile et avec un bon verrouillage du quadriceps.
Si les patients jeunes, sportifs sont des indications validées pour la chirurgie, en revanche pour des patients sédentaires non sportifs et plus âgés l'intervention chirurgicale n'est pas obligatoire.
Il faudra savoir proposer une ligamentoplastie du genou "à la carte", en fonction de la récupération fonctionnelle après rééducation, de la motivation du patient et des lésions associées.
Nous réalisons depuis plusieurs années en première intention, une technique combinée en utilisant comme prélèvement autologue les tendons ischio jambiers.
La reconstruction combinée du LCA et du LAL a été décrite par le Dr Bertrand Sonnery Cottet (Santy Lyon). Cette technique permet une reconstruction biologique du LCA en préservant les fibres tibiales du LCA (technique SAMBBA) associée à une reconstruction anatomique du LAL.
Le LAL a été décrit récemment comme un ligament permettant de contrôler l’accélération de rotation du tibia ou le pivot.
Le Dr Betrand Sonney Cottet a prouvé dans ses publications que cette technique combinée permettait un meilleur retour au sport avec moins de risques de rupture itérative que les autres plasties ligamentaires (KJ ou DIDT).
Nous injectons systématiquement du PRP en fin d’intervention dans la plastie pour permettre une accélération de la ligamentisation.
Cette chirurgie est réalisée systématiquement en ambulatoire et le patient sort avec un appui complet sans attelle, sous couvert de 2 béquilles pour 3 à 4 semaines.
La meilleure rééducation doit comprendre une triangulation indispensable à la bonne convalescence, comprenant: kiné, chirurgien et auto rééducation.
Elle comporte 4 phases :
Les résultats sont très bons avec 70% de patients (50 à 60% pour les autres ligamentoplasties du genou) qui peuvent reprendre leur sport dans des délais variables mais en moyenne il faut compter 12 mois. Les sportifs professionnels reprennent leur sport au même niveau dans 85,7% des cas avec un délai moyen de 8 mois (publication de B. Sonney-Cottet dans la revue Arthroscopy en mars 2019.
Les risques classiques: hématome, désunion cicatricielle, raideur de genou sont très rares.
Il existe des risques de méniscectomie secondaires ou de rupture itérative de la plastie (10%).
Les risques d'infection nosocomiales ou vasculo nerveuses sont exceptionnelles.